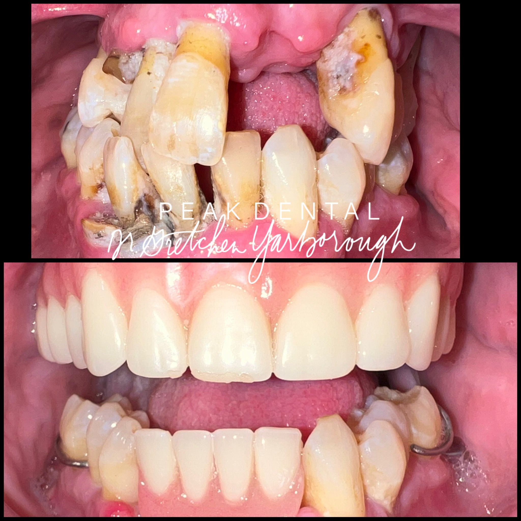
Restorative Dentistry
Restorative / Crowns & Bridge/ Dentures
Restorative dentistry is a general term in the dental profession, and it entails a range of procedures for patients. From small chips to missing teeth, a restorative dentist will bring the mouth back into a state of cohesion. Depending on your specific treatment plan, you may need several procedures before you can chew, speak or bite properly again.
Composite White Fillings
Unlike the silver or gold fillings of yesteryears, composite white fillings are made from a resin material that mimics the natural appearance of tooth enamel. This resin is a blend of plastic and glass, offering both strength and a reflective appearance similar to natural teeth. When expertly applied and polished, these fillings are virtually undetectable, allowing you to laugh, talk, and smile with confidence.
Crowns
A dental crown, also known as a dental cap, is a protective covering that is placed over a damaged or weakened tooth to restore its shape, size, strength and appearance. They are custom made to match the color, size, and shape of your natural teeth, providing a seamless and natural looking result.
The process of receiving a crown is 2 appointments. The first appointment we will prepare the tooth to receive the crown, use a Trios digital scanner to capture how the tooth looks and send it to the dental lab for crown fabrication, and then make a temporary crown that is worn over the tooth to protect it until the final crown arrives 2-3 weeks later. With excellent homecare, the 2nd visit is a breeze placing cementing the permanent crown over the prepared tooth.
Crowns are often associated with root canals, because the procedure will weaken the tooth enough that it needs to be rebuilt. However, crowns can also be used for any type of tooth loss, including chipped teeth or full tooth loss. If you’re looking for restorative dentistry in Irmo, SC, your dentist can tell you more about how your tooth will be either replaced or reshaped.
Crowns and veneers are a great way to change the overall appearance, shape, and shade of your smile. With crowns covering the tooth fully like a hat and veneers covering the tooth partially like a fingernail, the dentist will diagnose and determine what is appropriate for each tooth.
Bridges
A dental bridge is a series of multiple crowns connected together meant to replace missing teeth. The bridge is supported by teeth on both sides of a missing space and an artificial tooth in the middle. The crowns on the outside are cemented onto your existing teeth to hold the bridge in place.
Bridges are not considered to be as strong as implants, and this is due to the methods by which they are placed. With an implant, there is a metal post that fuses with the jaw bone over time. With a bridge, the device relies on the stability of the remaining teeth. However, for some people, implants will not be an option (smoking, uncontrolled diabetes or lack of bone) and bridges are an excellent alternative for those who want a permanent solution. You can talk more to your dentist to determine which procedure is right for you.
Dentures and Partial Dentures
Dentures are a set of removable teeth and are usually recommended to patients who aren’t good candidates for crowns, implants, or bridges. Complete dentures are used when all the top or bottom teeth are hopeless or missing. Immediate Dentures can be fabricated ahead of the extraction day so they can be delivered and used immediately by the patient and there is no down time without teeth. Complete dentures rely solely on suction or adhesive to stay in place. With the active nature of the tongue, lower dentures have more of a tendency to not stay in place and have very low chewing capacity. We highly recommend implants to help dentures stay in place and stabilize.
Partial Dentures are removable teeth that are supported by existing teeth in the mouth. The partial denture may have metal or acrylic framework to support the false teeth that are attached to the partial denture and the type of framework will be determined by a conversation with you and your dentist. The metal partials are stronger and can be altered in the future if need be. The acrylic flex partials are more esthetic, but are not able to be altered if there is any change in your smile. Partial dentures no only fill in the gaps left by missing teeth but also prevent the remaining teeth from shifting.
It is important to note that getting used to your dentures may take some time. Initially, you may experience discomfort, increased salivary flow, and difficulty speaking or eating. However, with practice and time, these issues usually resolve as your mouth adjusts to the dentures. Proper care and maintenance of your dentures is essential for their longevity and your oral health. We recommend to clean your dentures daily with a denture brush and mild cleaner. Regular dental checkups are also necessary to ensure the fit of your dentures is the best it can be. Over time, your bone and jaw structure will change due to the pressure from the dentures, but the removable prosthetic will not change and therefore, you may need to follow up with the dentist for a reline of the denture to fit your mouth accurately.
Restorative Dentists in IRMO, SC
Restorative dentists can address any number of common complaints from patients, including people who are experiencing pain while they eat or avoiding certain types of foods to limit their discomfort. Broken or missing teeth not only make it more difficult for you to enjoy your favorite meals, though, they can also interfere with your oral hygiene routine. Your remaining teeth can eventually slide into the open spaces in order to fill the gap. Over time, these kinds of inconveniences and frustrations can cause people to lose interest in taking care of their teeth.
A restorative dentist works to both fix problems and prevent problems in the future. The more you take care of your teeth today, the less likely you’ll have to pay for more intense treatments later on. The right dentist can strengthen your mouth, so it can stand up to everyday wear and tear.
In addition to tangible benefits, the very act of getting a crown or dentures can be life-affirming. If you want to learn more about what restorative dentistry can do for you, Peak Dental is here to answer your questions.

